
How a Cat-Borne Parasite Infects Humans
Scientists have a new theory to explain the brain-controlling parasite.
Over the past year, a Czech evolutionary biologist named Jaroslav Flegr has made headlines for a radical claim: that a common parasite called Toxoplasma gondii is controlling our brains.
"Toxo," which typically infects cats, is famous among scientists for its clever tactic of jumping from one cat to another by infecting rats and altering their behavior to make them more likely to be eaten by another cat, thus transferring the parasite to a new host.
Flegr discovered that the behaviors that toxo provokes in rats in order to get them eaten—slowed reaction times, lethargy, reduction in fear—also show up in infected humans. But until very recently, scientists knew little about how toxo might be doing this. (Watch: Secret lives of house cats revealed.)
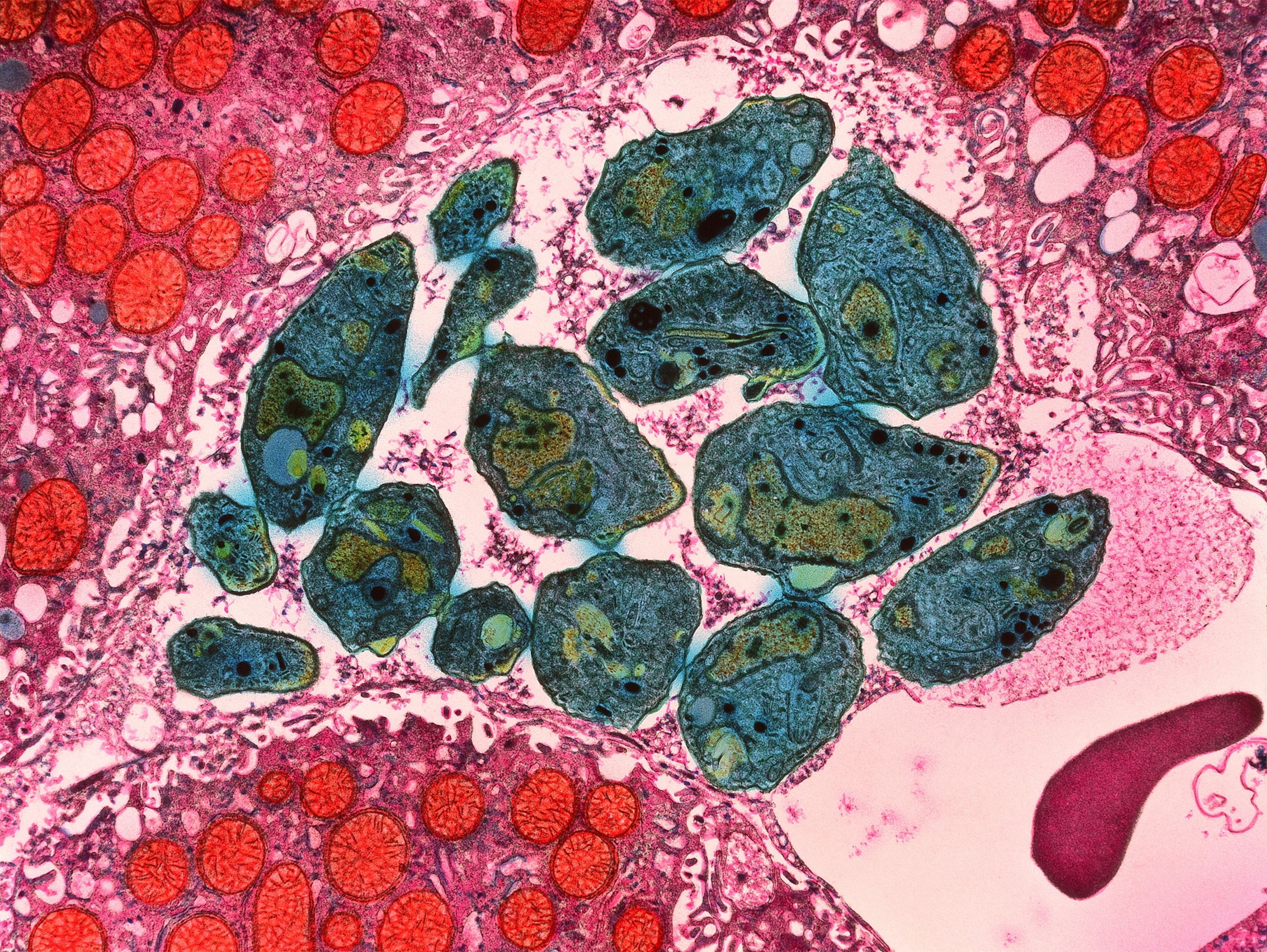
Two months ago, a team of Swedish scientists uncovered a key piece of the puzzle. In order to travel throughout the body and, most importantly, to the brain, toxo hijacks the very cells designed to destroy foreign invaders: the white blood cells. And not only does the parasite ride those cells like a city bus, but it also turns them into tiny chemical factories, producing a neurotransmitter known to reduce fear and anxiety in rats—and in humans. (Explore the human body.)
(Toxoplasma – the brain parasite that influences human culture)
Even though toxo most often lives in cats, it infects millions of humans, jumping to us via contact with litter boxes, contaminated water, or undercooked meat. For most people, the parasite causes no obvious problems. Pregnant women must be careful, though; the Centers for Disease Control and Prevention warns that women infected during pregnancy face increased risk of miscarriage or birth defects.
What's Toxo Doing to Me?
In 1990, Flegr happened to find out he had toxo himself—a colleague who studied the parasite had developed a new diagnostic test and decided to try it out on Flegr. The news that he carried the parasite gave him an idea. He knew the parasite reduced fear in rats so they'd be more likely to get eaten by cats. And he'd also recently noticed a certain lack of fear in himself. "I would cross the street in traffic and not jump when the cars honked," he said. He wondered: Could the toxo be responsible?
(Toxoplasma – the brain parasite that influences human culture)
Over the next 15 years, using experimentation and analysis of public health data, Flegr discovered a series of fascinating links between toxo and human behavior. A toxo-infected person is more than twice as likely to be in a car accident—which Flegr attributes to the parasite's tendency to reduce reaction time—and has a higher than normal risk of developing schizophrenia. Other scientists have shown a connection between toxo and an increased risk of suicide.
How toxo might cause these changes remained a mystery. Then in 2009, scientists in the U.K. discovered that toxo has two genes for making l-DOPA, the precursor molecule to dopamine. Elevated levels of dopamine are associated with schizophrenia. This research told a piece of the story but left many questions.
Hitching a Ride on Immune System Cells
Enter Antonion Barragan, a researcher at the Center for Infectious Medicine at Karolinska Institute in Sweden. As Barragan and his team examined toxo in the blood of mice, they found the parasite living in a surprising place: inside the immune cells designed to kill them, a type of white blood cell called a "dendritic cell," after its treelike appearance. "These are the gatekeepers of the immune system," he said. "And we wondered, maybe the parasite is using these cells to get around." Using the cells as Trojan horses. As it turned out, he was right. Toxo was using the immune system cells to travel through the body and get to the host's brain. But how? The immune cells need to be stimulated in order to move—and the toxo itself obviously wasn't getting them going; the cells didn't even seem to know they'd been infected. What was agitating the dendritic cells?
And then they found it: a neurotransmitter called GABA. "It didn't make any sense," Barragan said. "GABA operates in the brain. What's it doing in the immune system?" But there it was. Barragan was seeing something nobody had seen before. Toxo appeared to be inducing GABA production inside the dendritic cells, which excited GABA receptors on the outside of the very same dendritic cells, and sent them zooming through the body, and to the brain. Now, here's the fascinating part: Disturbances in GABA are commonly seen in many psychiatric disorders, including schizophrenia. And elevated GABA levels, Barragan says, "are associated with decreases in fear and anxiety."
Still, Flegr cautions that this discovery doesn't tell the whole story. "I still think the most important molecule is dopamine," he said. "But this GABA mechanism is brand new and very interesting."
And perhaps not surprisingly, given all we've learned about toxo so far, he said, "It's very, very clever."





