In a first, microplastic particles have been linked to heart disease
A groundbreaking new study shows how the presence of these tiny plastic particles in arteries likely affects your health—and may increase your risk of death

Microplastics are everywhere in the environment—and in our bodies. The build-up of these tiny plastic particles in blood vessels is linked to a greater risk of heart attack, stroke, and death, according to a new study.
When plaque builds up in arteries—a disease called atherosclerosis—the thicker vessel walls reduce blood flow to parts of the body, raising the risk of strokes, angina, and heart attack. The plaques are typically a mixture of cholesterol, fatty substances, waste from cells, calcium, and a blood clotting protein called fibrin. The new study now focuses on some 300 people with atherosclerosis, some of whom also had tiny plastic particles—microplastics and nanoplastics—embedded in plaques in their carotid artery, a major blood vessel in the neck that provides blood to the brain. The people with plastic-containing plaques were more than four times more likely to have a heart attack or stroke or to die from any cause over the next three years, according to the research published on March 7 in the New England Journal of Medicine.
Researchers have long known that the chemicals in plastics can leach out and cause health problems, such as interfering with hormones or other parts of the endocrine system.
(Four innovative ideas helping to fix the plastic problem)
“But this is the first time we’ve seen a human health effect attributed to the particles themselves,” says Philip Landrigan, a pediatrician and public health epidemiologist at Boston College who was not involved in the study but has spent much of his career studying toxic chemicals’ effects on human health. Landrigan helped spearhead the lead poisoning research that led the U.S. government to remove lead from gasoline and paint.
“Until now, the mantra has always been, Well, the particles are there, but we don’t know anything about what they’re doing. This paper changes that.” Landrigan expects this study will spur more research into what other organs plastic may be damaging, such as the brain, kidneys, and reproductive organs.


Giuseppe Paolisso, a cardiologist at the University of Campania Luigi Vanvitelli in Italy and one of the study’s authors, says they could not determine how the tiny plastics got into blood vessels. They can enter the body in many ways, including breathing them in from the air and consuming them from the food and water supply.
“What we can say is that our data could sound a warning in our daily lives that we should try to reduce the use of plastics and use more glass,” Paolisso says.
A large amount of research has already shown that microplastic and nanoplastic particles are “essentially everywhere we look in the body,” says Kenneth Spaeth, an occupational medicine doctor at Northwell Health in New York who was not involved in the study. “Given what these particles are composed of, it has long been suspected that they are playing a role in affecting our health.” The findings therefore aren’t necessarily too surprising, he says, but they are important.
(Human-made materials now equal weight of all life on Earth)
Most current data scientists have on the effects of microplastics and nanoplastics in the body come from animal studies, says Aaron Aday, a cardiologist and vascular medicine specialist at Vanderbilt University. “We knew these microplastics and nanoplastics could get into the bloodstream and into certain organs, but this research is a pretty big leap in terms of finding them in plaque in individuals who had significant disease,” he says. “This is certainly a landmark study in linking them to human disease.”
Linking microplastics to heart disease
The study involved 304 adults who underwent a surgery called carotid endarterectomy, in which surgeons clean out plaque that built up in the carotid artery. Plaque build-up in this artery can increase the risk of stroke when a piece of the plaque breaks off and blocks a smaller artery, preventing blood flow.
After removing the plaque, the researchers analyzed it for plastics, although they did not distinguish between how much microplastic particles—about the width of a grain of rice—versus nanoplastics, about one tenth the diameter of a human hair, they found in the plaques.
They identified polyethylene, the most produced plastic in the world, in 58 percent of the patients. They found polyvinyl chloride—more commonly known as PVC—in 12 percent.
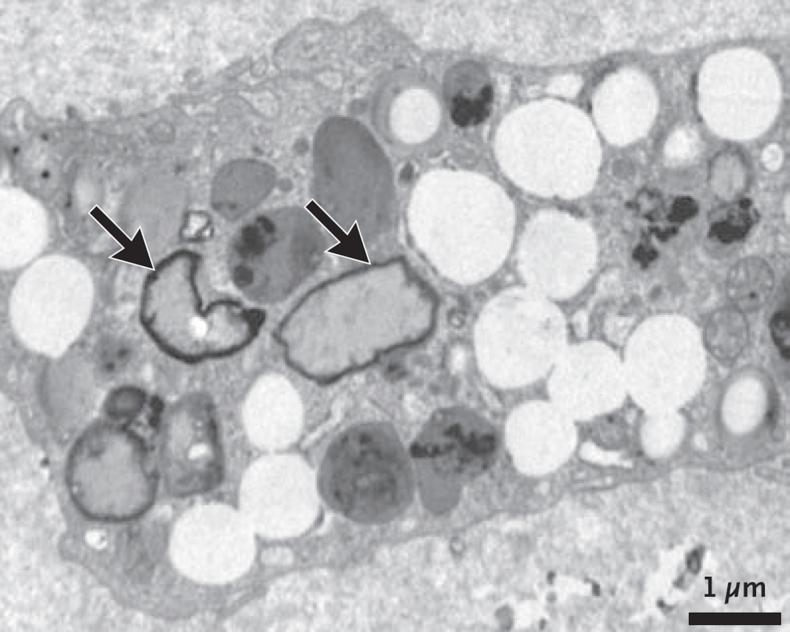
When the researchers looked at the tiny plastic particles under an electron microscope, they found foreign particles with jagged edges inside macrophages in the plaques. Macrophages are white blood cells that surround and kill microorganisms and other foreign bodies by consuming them.
The researchers then followed 257 of the patients for between two and three years to see how many had heart attacks or strokes or died from any cause. The patients with microplastics and nanoplastics in their plaque were about 4.5 times more likely to have a heart attack, stroke, or death in the next several years.
The researchers cannot say whether or how the micro- and nanoplastics contribute to heart attacks or stroke, but one possibility is that the tiny particles cause inflammation as macrophages converge to rid the body of the foreign particles, Paolisso says. As inflammation in the plaque increases, pieces might more easily break off and enter the bloodstream.
The inflammation hypothesis is reasonable since it’s known that macrophages contribute to plaque development and that inflammation is important in cardiovascular disease, Aday says.
“If these particles are causing more inflammation in the plaque, then perhaps the plaques are more vulnerable to causing problems in the future,” he says, but it’s too early to say for sure if that’s happening.
It’s also not clear how much harm might arise from chemicals in the plastics versus the physical particles themselves. Many different kinds of chemicals make up these plastics, including endocrine disruptors—chemicals that interfere with the natural hormones the body produces—and inflammation triggers, Spaeth says.
Given the many different potentially toxic chemicals in plastics, they could have any number of effects in our bodies, he says. Unlike pharmaceuticals, which are tested in clinical trials, it’s not ethical to test environmental exposures like microplastics in humans in randomized controlled trials, Spaeth says. “Unfortunately, we are all part of a living experiment where we all could be studied.”
While individuals can’t do much to control their widespread exposure to plastics in the environment, they can adopt lifestyle habits known to reduce cardiovascular risk, such as regular physical activity, a healthy diet, and not smoking.
It’s not clear how much environmental pollutants are contributing to cardiovascular disease and other disease overall, but “things like diet, exercise and lifestyle probably have a bigger impact than worrying about how many plastic water bottles you have in your house,” Spaeth says.
Plastic, plastic everywhere
Plastic waste has more than doubled just since 2000, and the vast majority of that—around 80 percent—ends up in landfills, where it breaks down into tiny particles that infiltrate the water and soil, eventually entering our food chain.
“No component of plastics contributes more to plastic waste and micro- and nanoplastics than single-use plastic,” Landrigan says. Single-use plastics, such as water bottles, grocery bags, product packaging, and plastic straws, plates and cutlery, make up about 40 percent of the plastic made every year.
“I don’t think it’s possible in today’s world for people to get rid of all plastics, but they can certainly reduce their exposure,” Landrigan says. Ways to do that include drinking out of steel cups or bottles instead of plastic ones and not microwaving food in plastic containers, since heat speeds up the breakdown of plastics, he says.
People can also reduce their overall plastic footprint, such as not using plastic bags at stores. The average American generates 487 pounds of plastic waste each year, according to the Organization for Economic Co-operation and Development.
“Individuals can do a little bit, but the heavy lifting is going to have to be at the policy level because plastics are so widespread,” Landrigan says. The United Nations has been negotiating the world’s first-ever plastics pollution treaty since 2022 and will be meeting later this month to finalize it. This New England Journal of Medicine study should increase the urgency of those negotiations, Landrigan says.
While Spaeth acknowledges that the study findings are “a bit scary and daunting,” he’s optimistic about how this kind of research leads to change. The history of public health has consistently shown that, as scientific evidence mounts and demonstrates that a particular human activity harms health, it eventually reaches a tipping point to motivate policy change, he says.
“There was a time when we were completely oblivious to the health effects of air pollution and didn’t think about it, and over a decade’s time, the science got really strong,” Spaeth says. “Then we started efforts to make our air cleaner, and real, measurable benefits have resulted from that.” Another example, he says, is asbestos, which was finally completely banned last month.
“I think the political will to take on [plastics] will also grow,” Spaeth says. Hopefully this will lead to more studies so researchers get a better handle on the risks plastics pose, he says, “and that will help us shape policy.”








