
Engineering mosquito gut bacteria to fight malaria
A malarial mosquito is a flying factory for Plasmodium – a parasite that fills its guts, and storms the blood of every person it bites. By hosting and spreading these parasites, mosquitoes kill 1.2 million people every year.
But Plasmodium isn’t the only thing living inside a mosquito’s guts. Just as our bowels are home to trillions of bacteria, mosquitoes also carry their own microscopic menageries. Now, Sibao Wang from Johns Hopkins Bloomberg School of Public Health has transformed one of these bacterial associates into the latest recruit in our war against malaria. By loading it with genes that destroy malarial parasites, Wang has turned the friend of our enemy into our friend.
Many groups of scientists have tried to beat malaria by genetically modifying the species of mosquito that carries it – Anopheles gambiae. Marcelo Jacobs-Lorena, who led Wang’s new study, has been at the forefront of these efforts. In 2002, his team loaded mosquitoes with a modified gene so that their guts produce a substance that kills off Plasmodiumtheir guts produce a substance that kills off Plasmodium.
“The approach worked very well in the laboratory,” says Jacobs-Lorena, but it would be impossible to load wild mosquitoes with the anti-malarial gene. Instead, you’d have to ensure that the modified mosquitoes could out-compete their wild peers, so that the gene passes from one generation to the next via natural breeding. It must also do so quickly before the parasite can evolve a countermeasure. That’s very difficult to guarantee, especially given our limited understanding of the mating habits and ecology of mosquitoes.
Jacobs-Lorena found an alternative. He would sneak the Plasmodium-killing gene into the bacteria that live inside a mosquito’s guts, rather than the insect’s own genome. “We thought that it would be easier to introduce bacteria than genes into mosquitoes in the field,” he says.
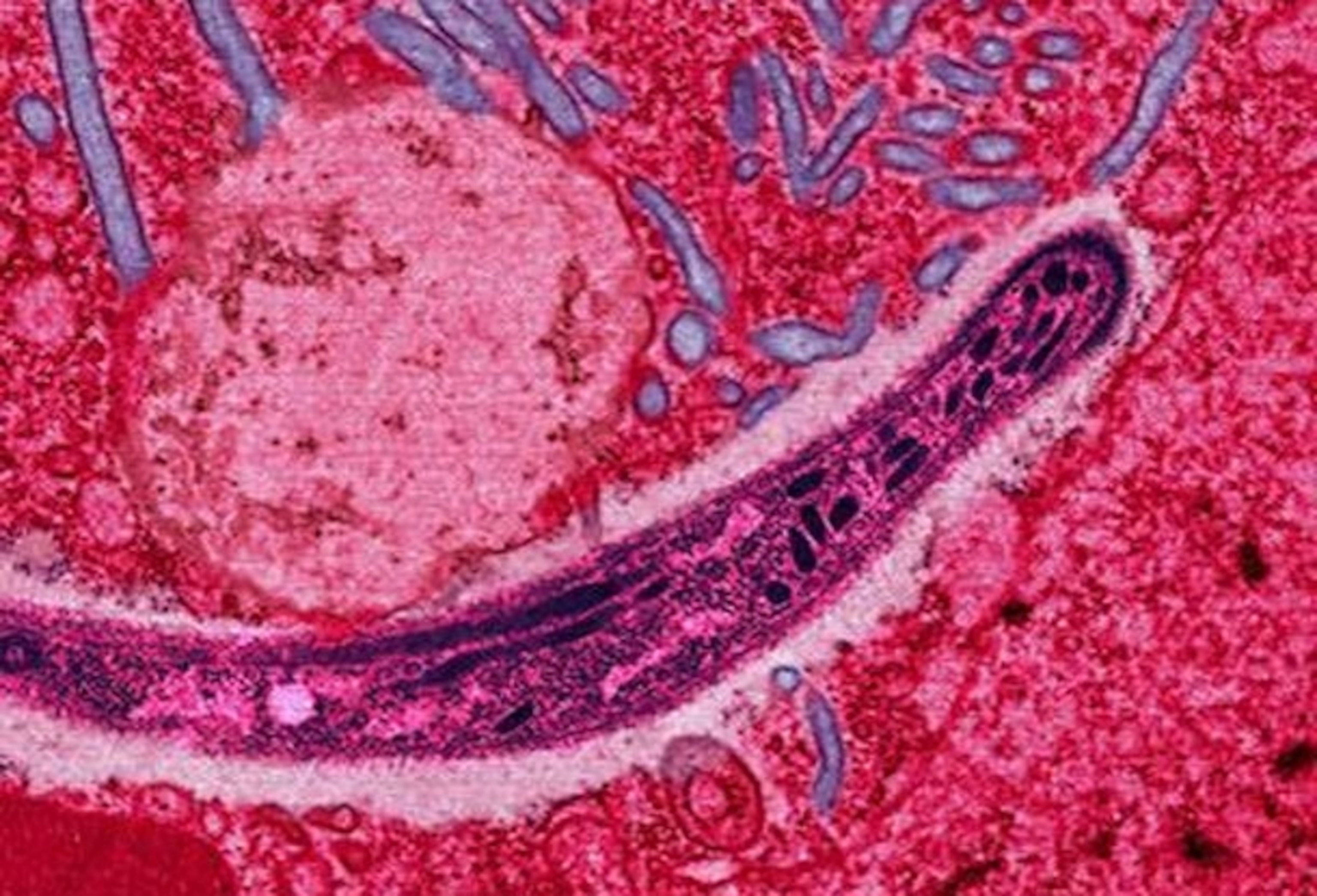
The strategy has one big advantage: the gut is the most vulnerable part of Plasmodium’s complicated shape-shifting life cycle. When the mosquito bites an infected human, it sucks up thousands of Plasmodium sex cells, which mate with each other to form fertilised eggs called ookinetes. These invade the lining of the insect’s gut and become factories called oocysts. Each one manufactures thousands of long, worm-like sporozoites that swim into the mosquito’s salivary glands, ready to jump into a new person.
The oocyst stage is the bottleneck in this process. Even if a mosquito swallows thousands of Plasmodium cells, it typically ends up with far fewer oocysts in its gut. In such small numbers, they make an attractive target, and it just so happens that the gut contains potential collaborators – bacteria. Pantoea agglomerans is among the most common of these partners. It’s co-exists harmlessly with the mosquito and we still don’t know what, if any, role it performs.
Wang, a member of Jacobs-Lorena’s team, engineered P.agglomerans to make several proteins that turn the mosquito’s gut into a hostile zone for Plasmodium. Some of these proteins interact the mosquito’s gut to prevent the young Plasmodium parasites from invading it, while others (including one derived from scorpion venom) tear the parasite apart. The bacteria secrete these weapons into the gut where they get to work upon any invading Plasmodium. It also helps that when a mosquito drinks blood, the numbers of P.agglomerans within it shoot up by over 100 times, creating a defence force that’s ready for the incoming parasites.
Wang found that the engineered bacteria slashed the numbers of oocysts in mosquitoes by 85 to 98 per cent. Just 14 to 18 per cent of the insects carrying the defensive microbes became infected with Plasmodium after drinking contaminated blood, down from a typical proportion of 90 per cent.
Scott O’Neill, who is using bacteria to combat dengue fever, says that “results looks very encouraging”, but he notes that the biggest stumbling block will be getting the bacteria into wild mosquitoes in sufficient numbers. Other scientists are trying to infect mosquitoes with killer fungi, and are running into the same problem.
Jacobs-Lorena envisions that the bacteria could be loaded into sugar-soaked cotton balls and placed in baiting stations around villages in malaria territory. This would be simple and cheap. The mosquitoes would fly over, take a sip, and become loaded with anti-Plasmodium defences. Best of all, the approach should work on all mosquito species that can carry malaria – A.gambiae is the best-known of these, but dozens more are up to the task. Genetically modifying all of them would be impractical, but since P.agglomerans isn’t fussy about its choice of hosts, it could provide a one-size-fits-all source of malaria-killing proteins.
“A lot of work will have to be performed to make these sugar stations attractive enough,” says Jason Rasgon from Pennsylvania State University, who has worked with Jacobs-Lorena before. “And will the bacteria remain viable in the field before they can be picked up by mosquitoes?” Jacobs-Lorena will try to answer these questions in “semi-field enclosures” – natural but enclosed greenhouses that mosquitoes can buzz around in.
George Dimopoulos, who also works on mosquito control, thinks that there’s another possible pitfall. The modified bacteria would have to spend valuable energy on producing the anti-Plasmodium molecules – energy that would normally go into their everyday activities. As such, they might be less competitive than normal bacteria. “Mosquitoes would therefore have to be continuously exposed to large numbers of these GM bacteria in the field, for the bacteria to stand any chance of becoming a major portion of the microbes that reside in the mosquito gut,” he says.
“It’s easy to criticize, but I think this is a great proof –of-principle first step of this technique,” says Rasgon. But the technical challenges are far from the most difficult ones that the team faces. Many people are deeply opposed to the use of genetic modification, and Dimopoulos notes that such antagonism is especially high in many African countries where malaria is endemic. Even if Jacobs-Lorena’s bacteria are ready for use, it’s likely that they’ll face staunch opposition from local residents and environmental lobbyists.
“We consider regulatory issues and population approval to be by far the biggest challenges that we will encounter,” he says. “We have the advantage though, that unlike genetically modified foods, the aim here is to save lives.”
That may be little consolation. Scientists who are trying to use GM-mosquitoes to fight dengue fever in Brazil and the US have already encountered severe hostility. The bacterial approach might fare even worse. “It relies on a GM bacterium which can’t be contained once released in mosquito populations, and will easily end up in the food chain and eventually also on peoples plates,” says Dimopoulos. “While such bacteria may not pose a hazard to humans and animals, the work required to prove, educate and finally convince various stakeholders that the implementation is safe will be lengthy and challenging.”
Dimopoulos and others have identified naturally occurring bacteria that seem to bestow mosquitoes with the ability to block Plasmodium. “Malaria control based on such natural anti-parasitic microbes will likely be easier to gain peoples acceptance and thereby implementation,” he says.
Reference: Wang, Ghosh, Bongio, Stebbings, Lampe & Jacobs-Lorena. 2012. Fighting malaria with engineered symbiotic bacteria from vector mosquitoes. PNAS http://dx.doi.org/10.1073/pnas.1204158109
Image by Ute Frevert; false color by Margaret Shear
More on malaria control:
- Skin bacteria affect how attractive we smell to malarial mosquitoes
- Buttery perfume deters mosquitoes by overloading their sense of smell
- Fungus loaded with scorpion toxin to fight malaria
- Beer makes humans more attractive to malarial mosquitoes
- One parasite to rule them all – Wolbachia protects against mosquito-borne diseases
- Genetically-modified mosquitoes fight malaria by outcompeting normal ones
- Without some basic science, GM mosquitoes won’t bite
- Defeating dengue by releasing mosquitoes with virus-blocking bacteria
- Fungus loaded with scorpion toxin to fight malaria
