Hundreds of tiny arachnids are likely on your face right now
Scientists aren’t sure what microscopic face mites do, but they know where to find them: in the pores and hair follicles of most adult humans’ faces.

At this moment, hundreds or thousands of tiny eight-legged animals are nestled deep in the pores of our faces—my face, your face, your best friend’s face, and pretty much every other face you know or love. In some sense, they’re our closest companions.
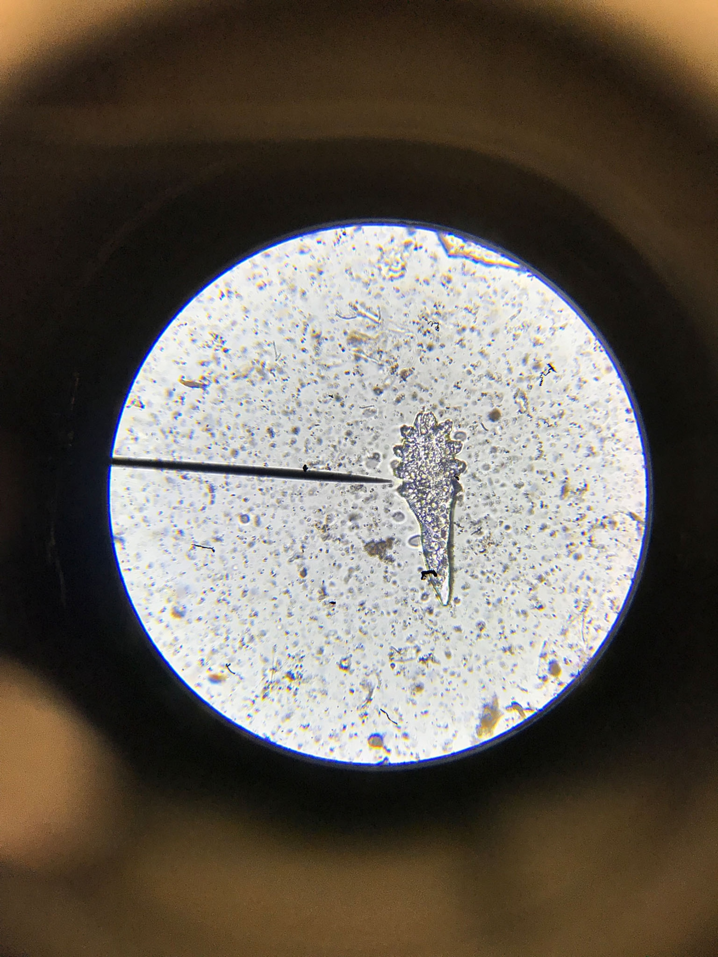
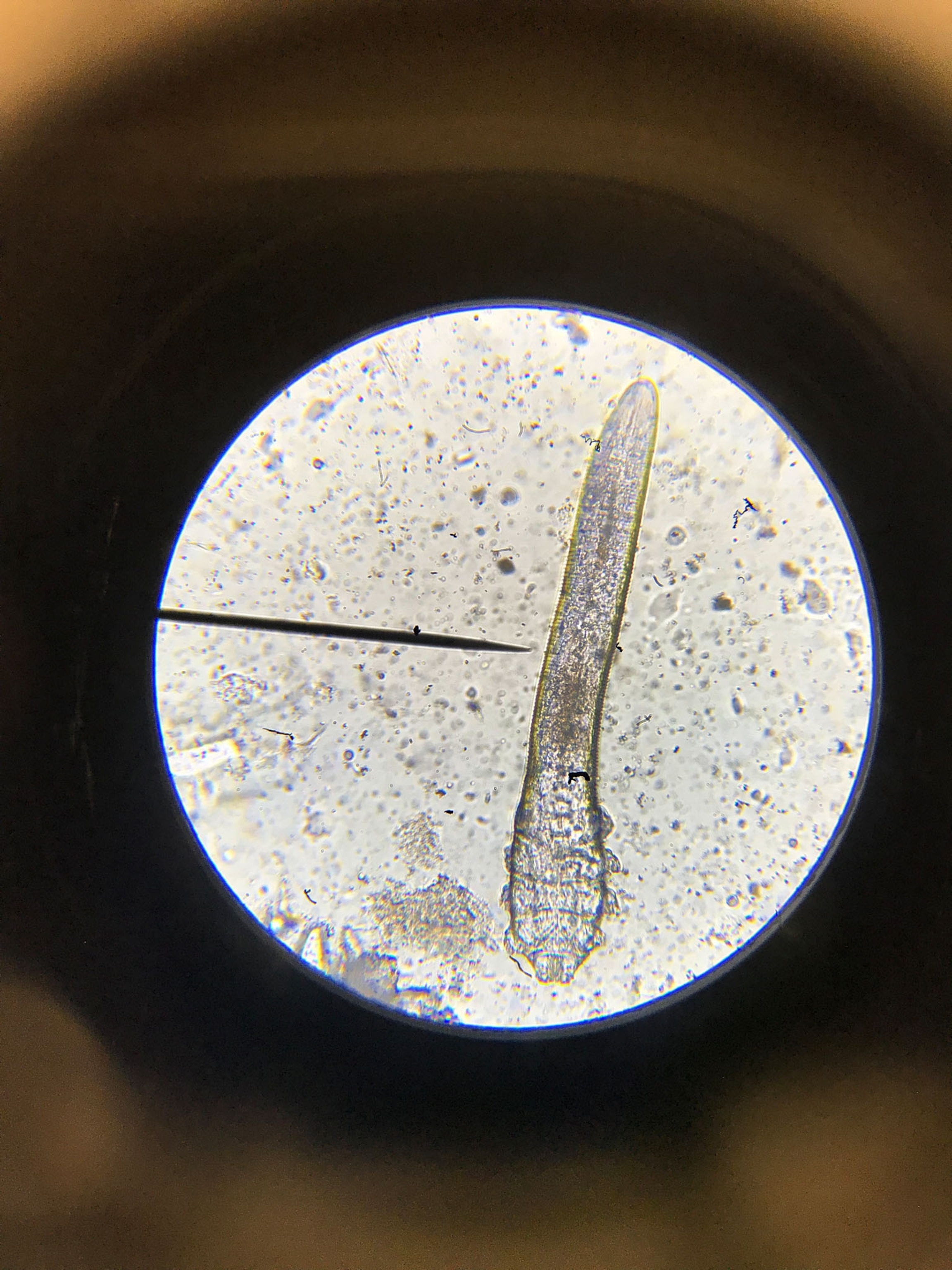
These animals are mites—tiny arachnids, related to spiders and ticks. They’re too small to see with the naked eye, and too small to feel as they move about. Not that they move much: Face mites are the ultimate hermits, likely living most of their lives head down inside a single pore. In fact, their bodies are shaped like the inside of a pore, evolution having long ago reduced them to narrow plugs topped with eight absurdly tiny legs.

Face mites were first discovered in the human ear canal in 1841; soon thereafter they were found in the eyebrows and eyelashes. Since then, we’ve learned that they live not only among towering forests of brows and lashes but also in the savannas of short, fine hairs all over our bodies, save the palms and the bottoms of feet. The oil-producing pores in which those hairs sit are particularly dense on the face—as are the mites that live in them.
Perhaps more surprising, our pores are home to at least two different species of mites, both of the genus Demodex. The shorter and stubbier of the two is D. brevis; it’s shaped roughly like the kind of club a cartoon caveman might carry, and it prefers to nestle deeply into sebaceous glands. The other is D. folliculorum, which is longer and skinnier and hangs out in hair follicles, closer to the skin’s surface.
Both mite species are such homebodies that scientists have a hard time observing them, either in captivity or in the wilds of the human face. As a result, we know little about their lives. One of the few things that seems certain is that face mites spend their entire lives on the human body, which implies they conduct all their day-to-day business there.
This means that mites are, by necessity, having sex on our faces, most likely emerging in the dark of night to find a mate since they’re averse to bright light. They’re also eating whatever is on hand inside a pore, presumably dead skin cells and oily sebum.
It also suggests that face mites are pooping in our faces. For a long time, scientists thought that face mites lacked an anus—wishful thinking, perhaps—and that waste just built up inside their bodies until they died. But in 2022, researchers released photographs taken with a microscope that revealed a face mite’s teeny, tiny anus. Apart from the giggles the discovery inspired, it dispelled the idea that a sudden, large release of waste upon a mite’s death might be responsible for causing skin inflammation.
Mites have been unfairly blamed for a variety of skin conditions, the researchers reported in the journal Molecular Biology and Evolution. Instead of being harmful parasites, the scientists say, Demodex genetics suggest that the mites are evolving toward a symbiotic relationship with humans. In fact, this could be their ultimate undoing. As the mites become more dependent on their human hosts, they’re losing the genetic diversity their species needs to survive. At some point, the researchers write, “the survival of the species over evolutionary time might be in question.”
Both mite species are such homebodies that scientists have a hard time observing them, either in captivity or in the wilds of the human face. As a result, we know little about their lives.
Because these mites are so cryptic, most of us will never see one. But biologist Rob Dunn and colleagues have made breakthroughs in understanding them—so I made it a mission to visit Dunn’s laboratory at North Carolina State University in Raleigh. I hoped not only to see my own face mites but also to learn more about these strange beasts. Dunn got interested in studying face mites, he tells me, precisely because they’re so mysterious. How could something actually live on our bodies without being noticed?
Megan Thoemmes wraps her long red hair into a bun and pulls on gloves. Like me, she’s steeling herself for what’s next: squeezing mites out of my pores. Thoemmes is just finishing her Ph.D. in Dunn’s lab, so she’s a pro at extracting face mites. But she warns me there’s a good chance we won’t find any.
A better way to collect Demodex, Thoemmes tells me, is to put a drop of cyanoacrylate glue (aka superglue) on a person’s face and stick a glass microscope slide to it. When the glue dries, you peel it off (it’s not as painful as it sounds, she claims) and the glue pulls everything out of the pores, including the mites, all stuck together in a pore-shaped clump. The lab’s record is finding 14 mites in a single pore.


On this morning, Thoemmes couldn’t find any superglue, so we’re using the old-fashioned method: scraping out sebum with a stainless steel laboratory spatula. I’m nervous that I’ve driven five hours to see nothing more than a close-up of the gunk in my pores. Thoemmes leans in and scrapes, firmly and steadily. A minute later, she shows me that the spatula holds a healthy smear of translucent face oil; she scrapes it onto a slide, and under the scope it goes.
Thoemmes adjusts the microscope with the deftness of someone who has done it thousands of times. After a few seconds, she mutters, “I think I found one.” She looks again. “Yes, I did!” We both squeal with joy. Even better, my mite is alive. I watch its tiny legs wiggle in the bright light.
After we take photos of my prized former face resident, Thoemmes scans the slide looking for more. Slowly, she starts counting. “Two, three … oh, I think I may have found a brevis!” She’s quiet for a long moment. “Eight mites,” she announces—six D. folliculorum and two D. brevis. That’s a lot, Thoemmes tells me diplomatically. She usually finds one or two in a face scraping, if any. I decide to consider myself above average, in a good way.
Thoemmes has one other way to find face mites: using their DNA. When Dunn’s group analyzed the DNA in sebum samples, they found face mite DNA in every single person tested over the age of 18 (versus just 14 percent of people via face scraping). In 2014 they published evidence that face mites are ubiquitous in humans. Further DNA research has revealed that face mites have evolved so closely with their human hosts that at least four distinct lineages of mites mirror our own—those with European, Asian, Latin American, and African ancestry.
One of Dunn’s colleagues, Michelle Trautwein of the California Academy of Sciences, is continuing to study this diversity. Having sampled mites on people from more than 90 countries, she hopes to sequence the entire face mite genome, opening new avenues of research. We might learn how the mites have evolved alongside us, she says, and a look at their genes could help us understand their physiology despite the difficulty of growing them in the lab.
The scientists who discovered Demodex living on humans in the 1800s saw them as potential pests or medical problems, and that attitude continued for more than a century. (Because Demodex numbers were found to be greater in people with rosacea—a skin condition that produces redness on the face—some dermatologists have assumed that face mites cause the condition.)
Now, though, our view of face mites is shifting. If virtually everyone has them, either we’re all infested or that’s not the right word to describe their presence. Even their link to rosacea might not be what it first appeared to be, Thoemmes suggests: What if it’s the other way around? Maybe the inflammation and increased blood flow related to rosacea create conditions favorable to face mites. In other words, larger face mite populations could be a symptom of rosacea, not a cause.
The scientists who discovered Demodex living on humans in the 1800s saw them as potential pests or medical problems. Now, though, our view of face mites is shifting.
What’s more, as science has come to view the human body as an ecosystem—home to diverse microscopic flora and fauna—it’s not clear that Demodex mites should be considered harmful parasites. Mites might even help us, as do the “good” microbes that live in our guts; they could be eating harmful bacteria in our pores, along with dead skin and sebum, or secreting antimicrobial compounds. We and our mites might be in a symbiotic relationship: We feed them pore gunk, they help with the housekeeping.
As for finding my own face inhabited by Demodex mites, I feel lucky to have seen them. I hope they’re up to something good. And as I wait for science to reveal more about these microscopic squatters, I’m proud to proclaim that I’m mighty mitey.

How I learned to love the weird
To me, nothing is more fun than going for a hike and turning over a fallen log to see what slithers out. After all, you never know what you’ll see. That’s why I love writing about science—it’s like turning over an infinite series of logs. While reporting for my new book, Gory Details, not only did I get to encounter my own face mites, but I also peeked behind the scenes of a maggot-growing operation and ingested a number of surprisingly delicious insects. I’m drawn to the gross, the creepy, the taboo. (If it’s not polite to talk about over dinner, I’m definitely in.) Why? Well, I’ve found that when I look more closely at whatever rattles me—death, disease, the mites on my face—science makes it a little less scary. It’s the reason I’ve written a whole book of these stories, and why I’m always on the hunt for more. —EE




